肺腫瘍
肺腫瘍について
- 肺腫瘍について
- 肺腫瘍(はいしゅよう)は、肺(気管支を含む)から発生したもの(原発性肺腫瘍)と、他の臓器から転移したもの(転移性肺腫瘍)に大きく分かれます。
悪性の肺腫瘍(肺がん)は、正常組織よりも増殖速度が速く、まわりの組織を破壊して発育し、時に他の場所に転移します。
-
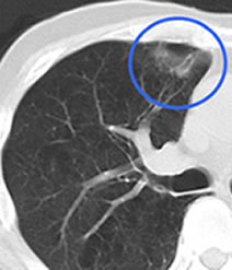
原発性肺がん
-
転移性肺がん(大腸からの転移)
- 肺がんの検査
- 肺がんの場合、CTで見えた形や大きさによって、がんの疑いがある場合は、通常、採血、痰の検査や気管支鏡検査などで細胞をみて診断されます。
しかし、小さながんでは、細胞が確認できない場合もあり、その場合にCTガイド下肺生検で小さな細胞を針を使って採取する検査があります。
肺がんの治療について
- 肺の悪性腫瘍(肺がん)の治療
- 肺がんの治療は、手術あるいは放射線治療が標準的な局所治療として広く認識されています。
ご高齢の方、手術を希望されない方、手術や化学療法などの後の再発の方など、状態に応じて科学的根拠をベースに、十分な説明のうえ、適切な治療をおこないます。
当クリニックでは放射線治療と近年注目され始めているIVR治療を行っており、個々の患者さんに応じた、最適な治療法を提供いたします。どちらも放射線科専門医が行う低侵襲治療で、手術よりも体への負担が少ないことが大きなメリットです。
-
肺がんに対する放射線治療
-
肺がんに対するIVR治療
肺がんの高精度放射線治療
- 肺がんの高精度放射線治療
-

-
原発性肺癌 ステージⅠ(肺結節のみ)
-
原発性肺癌 ステージⅢ(リンパ節転移)
- 保険が適用される肺がんの定位放射線治療
- 原発性肺がん:がんの転移がない、5cm以下の単発病変
転移性肺がん:肺以外に転移病変が無く、5cm以下で3個以内の病変
- 肺がんの放射線治療の副作用
- 肺がんの放射線治療の副作用として、放射線肺炎、気管支炎、無気肺、胸水、肋骨骨折などが起こることがありますが、これらの副作用は治療後のフォローアップにより、状態観察および対処を行いますのでご安心ください。
肺がんのラジオ波焼灼療法
肺がんに対するラジオ波焼灼療法(RFA)は、現在保険治療の適用外で臨床試験の段階ですが、多くのエビデンスをもとに、IVR専門医により、全国でも数少ない施設のみで実施されています。
CT透視をもちいたラジオ波治療は、局所麻酔でリアルタイムに動画を見ながら細い針を刺して(穿刺(せんし)して)おこなわれるため、呼吸による移動の影響が少なく、場所によらず正確に治療ができます。
他のあらゆる臓器からの転移性肺がんも、ラジオ波治療の適応となります。当クリニックでは多くの治療経験のもと、専門医によるきめ細やかな説明、治療を実施しています。
-
治療前
-
治療直後
-
治療2年後(治癒)
- 肺がんのラジオ波焼灼療法の適応
- 一般的には、以下の病変がよい適応となります。
○原発性肺がん:がんの転移がない、3cm以下の単発病変
○転移性肺がん:肺以外に転移病変があっても、3cm以下、3個以内の病変
※ただし、当院では、3cmを超える、4個以上の多発病変など、腫瘍の大きさや数による
一定の適応外基準は設けておらず、転移の個数が多くても、生命予後に寄与するかどうか、
また、リスクよりベネフィットが優っているかという観点から、治療の適応を決めています。
- 多発肺転移に対するラジオ波焼灼療法の例
-
直腸がん術後2年
(右肺に2か所、左肺に1か所の転移)
※ 術後1年で肝転移に対して手術
抗がん剤(XELOX)投与後ラジオ波治療後3年
→3か所とも治癒しています。 -
- 肺がんのラジオ波治療の効果
-
当クリニックの治療担当医が経験した患者様のデータは以下です。
- 原発性肺がん(述べ100例までのデータ)
1年 2年 3年 局所制御率 89% 84% 83% 生存率 92% 83% 75%
- 肺がんのラジオ波治療の効果
-
- 転移性肺がん(述べ150例までのデータ)
腫瘍の性質や他の転移の有無、全身状態にもよりますが、もっとも頻度の多い大腸がんの肺転移での成績は以下です。
1年 2年 3年 局所制御率 88% 82% 79% 生存率 95% 64% 59% ※ 大腸がんの他、肝がん、前立腺がん、腎がん、膀胱がん、乳がん、胃がん、子宮がんなど、
全身の臓器からの肺転移に対して、十分な適応判断のもと、実施しています。
※ 現時点では長期的効果はまだ不明で、対象は他の治療法で治癒困難な人に限られています。
※ 当クリニックでは、長期成績や適応について、大学病院などの公的施設と密に連携をとり、
多施設での共同研究に積極的に参加しています。
- 合併症について
- 安全性については特に注意をはらっています。もっとも多い合併症は気胸(胸膜から空気が漏れて肺が縮むこと)で、
全体の約2~3割程度生じます。
通常は保存的に軽快しますが、程度によっては、約1割程度で細いチューブを入れて治療します。
- 費用について
- 肺がんのラジオ波焼灼療法は、新しい治療法で現在保険適用外のため、入院費含め、自由診療(自費)となります。
合併症の有無や程度、個室のご希望等によって費用は異なります。
※その他、詳細については直接お問い合わせください。
お問い合わせ



